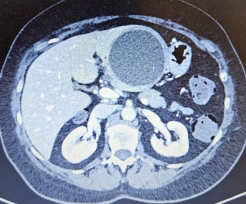
Per la prima volta in tutta l’Italia centro-meridionale, è stato eseguito presso la Casa di Cura “Regina Pacis” di San Cataldo (CL) un intervento di Lobectomia Epatica sinistra con l’utilizzo del sistema Robotico Versius™. Fino ad oggi, questo tipo di intervento veniva eseguito solo con tecnica tradizionale (chirurgia aperta) oppure in laparoscopia. Il delicato intervento chirurgico si è reso necessario a causa della presenza di una voluminosa neoformazione cistica che interessava la quasi totalità dell’intero lobo epatico sinistro e che era responsabile di importanti disturbi digestivi da compressione sullo stomaco. L’intervento chirurgico, dall’altissimo coefficiente di difficoltà, è stato condotto con successo dal Responsabile del Modulo di Chirurgia Epatobiliopancreatica della Casa di Cura “Regina Pacis”, dr. Calogero Ricotta, e dal Direttore Sanitario e Responsabile dell’U.O. di Chirurgia Generale e Mininvasiva, dr. Giuseppe Virzì (con in équipe chirurgica: Prof. Stefano Gidaro, dr. Antonio Sciortino, dr. Enrico Falzone, dr. Ermanno Grossi; équipe anestesiologica: dr.ssa Rosaria Longo, dr. Giovanni Bova, Responsabile del Modulo di Anestesia e Rianimazione applicato alla Chirurgia Robotica, e dr. Giuseppe Pirrello, Responsabile U.F. di Anestesia e Rianimazione della Casa di Cura “Regina Pacis”; Personale infermieristico di Sala Operatoria: Inf. Alessia Pirrello, Inf. Calogero Aicolino, Inf. Alessia Calabrese, Inf. Salvatore Barone).

L’intervento si è concluso senza complicanze ed il decorso operatorio è stato caratterizzato da una rapida ripresa che ha permesso al paziente di far ritorno a casa in meno di una settimana. “Prosegue in maniera spedita – spiega il dr. G. Virzì – il nostro programma di Chirurgia Robotica, iniziato solamente l’anno scorso e già ricco di quasi un centinaio di interventi eseguiti con tecnica robotica con difficoltà via via crescente. L’esecuzione di resezioni epatiche è solo l’ultimo grande successo della Casa di Cura “Regina Pacis” nel campo della Chirurgia Robotica. Infatti, da quando abbiamo intrapreso questo affascinante percorso in questo campo, ormai vengono eseguiti in maniera routinaria interventi robotici di colecistectomia, chirurgia di parete, prostatectomie, linfoadenectomie, nefrectomie parziali, nefroureterectomie e pieloplastiche”. La Casa di Cura “Regina Pacis” conferma la propria posizione di eccellenza nazionale nella chirurgia robotica, ampliando ulteriormente le possibilità offerte dalla chirurgia mininvasiva. “La nuova tecnologia – aggiunge il dr. C. Ricotta – rafforza ulteriormente l’impegno della Casa di Cura nel garantire ai propri pazienti trattamenti innovativi e di altissima qualità. Solamente nell’ultima settimana del mese di Maggio, ben quattro pazienti hanno potuto beneficiare delle straordinarie potenzialità della piattaforma Versius: tre interventi di tipo oncologico in ambito urologico (due prostatectomie ed una nefroureterectomia destra) ed un intervento di chirurgia epatobiliare (lobectomia epatica sinistra). Per quanto riguarda quest’ultimo caso clinico, l’intervento con approccio robotico ha comportato sì tempi operativi relativamente più lunghi, ma una durata della degenza decisamente più breve caratterizzata da una serena fase postoperatoria senza segni di insufficienza epatica dopo la lobectomia epatica sinistra, certamente correlata ad una identificazione intraoperatoria più precisa con risoluzione magnificata delle strutture biliari e vascolari del fegato. Lo sviluppo del programma di chirurgia robotica presso la Casa di Cura “Regina Pacis” di San Cataldo e l’esperienza in Chirurgia epatica e laparoscopica della nostra équipe chirurgica hanno permesso di raggiungere questo prestigioso traguardo che, mi preme sottolineare, rappresenta in assoluto il primo intervento di questo tipo con l’utilizzo del sistema Robotico Versius™ in tutta l’Italia centro-meridionale”. Il rivoluzionario sistema Robotico Versius™, che è ormai una solida realtà in Sicilia in virtù dell’attività della Casa di Cura “Regina Pacis” di San Cataldo (CL), rappresenta un autentico passo avanti nella chirurgia robotica mininvasiva: utilizzando il sistema robotico Versius™, il chirurgo controlla, attraverso una console, strumenti di alta precisione posti all’interno dell’addome attraverso piccole incisioni di 1-2 cm. I movimenti dell’operatore, vengono riprodotti all’interno del campo operatorio in maniera più precisa ed eliminando il naturale tremore delle mani. Questo innovativo approccio consente ai pazienti un recupero estremamente più rapido, una degenza ospedaliera significativamente abbreviata, una riduzione del rischio di infezione ospedaliera e un precoce ritorno alle normali attività quotidiane. “Siamo tutti estremamente orgogliosi di quest’ultimo risultato raggiunto – conclude il dr. G. Virzì – che dimostra la serietà e la competenza del gruppo chirurgico; tutto ciò non è assolutamente scontato, se si consideri il grave momento di difficoltà legata alla carenza di risorse della Sanità siciliana e non solo: la Casa di Cura “Regina Pacis” può davvero contare su Professionisti estremamente motivati e proiettati al futuro. Interventi come quello appena eseguito confermano il continuo percorso di sviluppo e di innovazione chirurgica al servizio della popolazione che afferisce alla nostra Struttura”.

